
RUBIK X1
1 SYSTÈME, 5 FONCTIONS, POSSIBILITÉS INFINIES

SCAN FACIAL ET CAPTURE HYBRIDE

DES MIDES PANORAMIQUES POLYVALENTS POUR TOUS LES BESOINS CLINIQUES

MODES MULTIPLES DE CEPH POUR UNE ÉVALUATION ORTHODONTIQUE FIABLE

MODES MULTIPLES DE CEPH POUR UNE ÉVALUATION ORTHODONTIQUE FIABLE
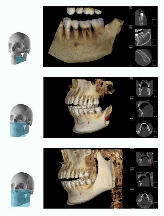
Les volumes disponibles à la fois sur Rubik X1 et RUBIX X3
5 x 5 cm / 9 x 9 cm / 12 x 10 cm


OPTIONS EXCLUSIVES DE CHAMP DE VISION DU RUBIK X1
16 x 10 cm / 16 x 16 cm


SPÉCIFICATION TECHNIQUES


