
L’imagerie extra-orale au plus haut niveau.
Kavo ProXam 2D
est la solution de radiographie 2D moderne pour l’imagerie numérique. Qu’il s’agisse d’images panoramiques, péricoronaires extra-orales, de l’articulation temporomandibulaire ou des sinus, le KaVo ProXam 2D a été spécialement conçu pour les tâches quotidiennes et les défis posés par l’imagerie dentaire, et répond même aux exigences les plus élevées en matière de qualité d’image et de facilité d’utilisation en radiologie.
Imagerie avec le KaVo Proxam 2D
La symbiose parfaite entre une utilisation simple et une qualité d’image élevée. Le confort de l’utilisateur et du patient vont de pair.
Le KaVo ProXam 2D peut être contrôlé à l’aide du logiciel de bureau sur le PC ou via l’écran tactile ajustable sur l’appareil – une autre fonctionnalité pour le confort d’utilisation.
L’utilisation de l’écran tactile est simple et intuitive: les modes les plus récemment utilisés sont affichés sur l’écran de démarrage, ce qui permet à l’utilisateur de sélectionner rapidement le programme de radiographie souhaité. Après avoir sélectionné le programme, les instructions étape par étape vous guident tout au long du flux de travail de radiographie.
Le KaVo ProXam 2D offre également de nombreux avantages pour le confort du patient: grace à la grande amplitude verticale de mouvement, il est facile et pratique de prendre des clichés de patients particulièrement grands, ainsi que d’enfants ou d’utilisateurs de fauteuils roulants.
L’architecture ouverte permet un positionnement face au patient; une caractéristique utile pour rassurer les patients anxieux.
Pour faciliter l’orientation, la position du patient s’affiche à l’écran tactile.
Le plan sagittal, le plan horizontal de Francfort et la couche focale sont projetés via le système triple laser.


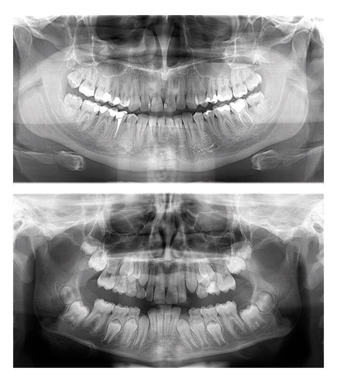
Les résultats d’image 2D sont également impressionnants, avec une résolution élevée de 16 pixels et un niveau de détail convaincant. Le bras robotisé à 2 articulations doté de la technologie SCARA (Selectively Compliant Articulated Robot Arm) garantit également une géométrie d’image anatomiquement parfaite à partir de mouvements de haute précision.
Fonctionnel et intemporel.
Au début du processus de conception, la priorité a été donnée au développement d’une unité compacte et peu encombrante. Le KaVo ProXam 2D impressionne non seulement par son design intemporel et attrayant, mais aussi par la qualité de ses matériaux et de sa fabrication qui résiste à l’épreuve du temps.
Avec le KaVo ProXam 2D, vous êtes aux commandes.
En plus du programme panoramique standard, vous avez le choix entre d’autres programmes:
• Images péricoronaires
• Articulation temporomandibulaire
• Sinus
• Imagerie céphalométrique en option pour tous les besoins orthodontiques
Un point fort particulier : le programme d’imagerie extra-orale pericoronaire du Kavo ProXam 2D offre une géométrie d’angulation interproximale améliorée, qui garantit des images péricoronaires plus précises avec une faible exposition aux rayonnements.
Moins de rayonnement avec la même qualité d’image.
Pour réduire la dose de rayonnement, la zone d’exposition peut être focalisée sur la zone cible de diagnostic avec le KaVo ProXam 2D à l’aide du programme optionnel « Segmentation horizontale et verticale ». Par rapport à l’exposition panoramique complète, la dose de rayonnement est réduite jusqu’à 90%.
Pour protéger les patients les plus petits, le Kavo ProXam 2D propose un mode spécial enfants dans chaque programme, dans lequel la zone d’image et les temps d’exposition sont réduits, minimisant ainsi la dose de rayonnement des le départ. Ce mode enfant est automatiquement activé dès que la plus petite taille de patient est selectionnée dans le programme respectif. Des que les réglages correspondants ont été effectués, l’appareil de radiographie KaVo ProXam 2D ajuste automatiquement tous les paramètres d’exposition et les valeurs d’exposition kV et mA peuvent ensuite être réajustées manuellement.
